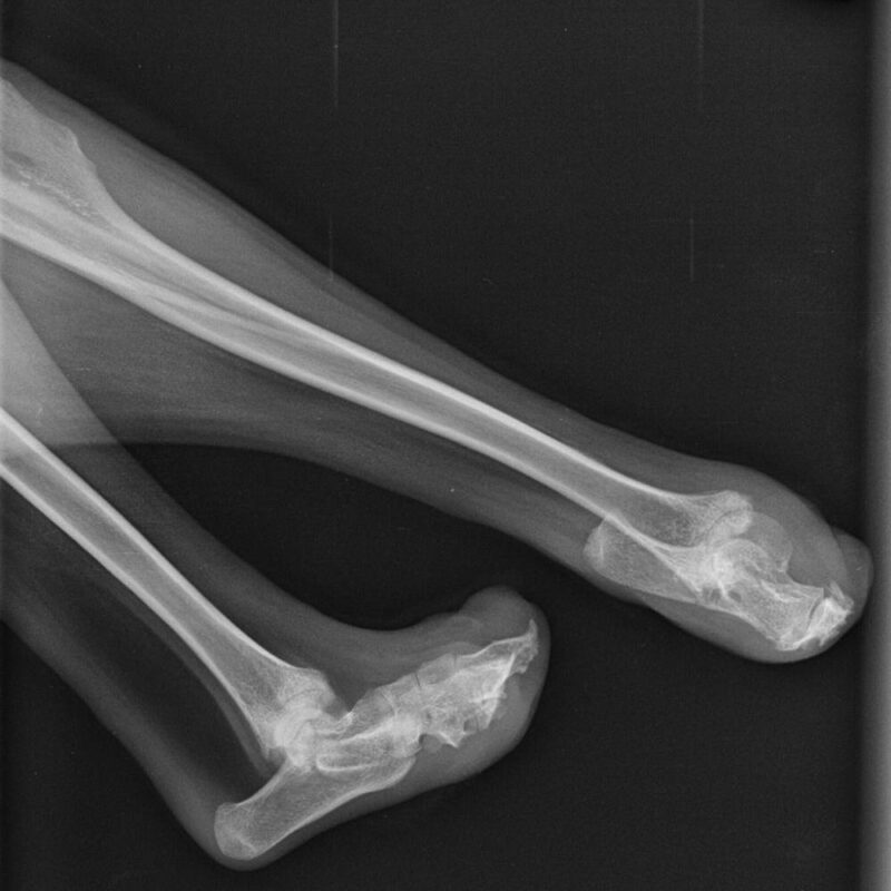
Amputationshöhen am vorderen und hinteren Lauf
Wieviel sollte vom Lauf erhalten sein um eine Prothese noch anpassen zu können?
Vorderer Lauf:
mind. 50% von Elle und Speiche (Ullna / Radius) sollten erhalten sein um eine Prothese anpassen zu können, je mehr desto besser.
Ist das Handgelenk / Karpalgelenk erhalten, sind die Vorraussetzungen für eine Prothese gut. Bleibt mehr erhalten sind die Vorraussetzungen optimal, z.B. bei einer Pfotenamputation. Das Gleiche gilt für den hinteren Lauf mit dem Unterschied, dass keine Prothese mehr angepasst werden kann wenn über dem Tarsalgelenk / Sprunggelenk amputiert wird.
Hinterer Lauf:
Das Sprunggelenk / Tarsalgelenk muss erhalten werden / vorhanden sein, sonst ist eine Prothesenanpassung so gut wie unmöglich.
Wird zu viel amputiert / ein zu kurzer Stumpf, ist eine Prothese nicht mehr anzupassen da eine Prothesen-Fixierung und die sichere Steuerung der Prothese verloren gehen.





